Día mundial de la neumonía: El riesgo de contraer el virus
Salud

Día mundial de la neumonía: El riesgo de contraer el virus

Por: Daniela Anguiano
León
Fecha: 12-11-2025

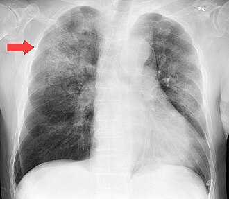
La neumonía se cobra la vida de miles de niños menores de 5 años, lo que la convierte en la principal causa de muerte entre la población infantil, incluyendo a muchos recién nacidos, que son muy vulnerables a esta enfermedad, su nivel de mortalidad es tan alto, porque en la mayoría de las ocasiones se le considera un resfriado común o en el peor de los casos, malaria, pero lo cierto es, que cuando por fin es diagnosticado de forma correcta ya es demasiado tarde.

Cabe señalar que la neumonía es una enfermedad que provoca la inflamación de los pulmones por la presencia de una infección producida por virus o bacterias, misma que con los equipos adecuados, principalmente placas torácicas o radiografías se puede detectar a tiempo y detener por completo con el suministro de un antibiótico, por ello si la enfermedad se diagnostica a tiempo, reduce su mortalidad en un 42% en los niños de 2 años o menos.



Noticias Similares

Destacadas

Más de Meganoticias