Se registran más de 2 millones de muertes al año por neumonía
Salud

Se registran más de 2 millones de muertes al año por neumonía

Por: Meganoticias
Veracruz
Fecha: 12-11-2025

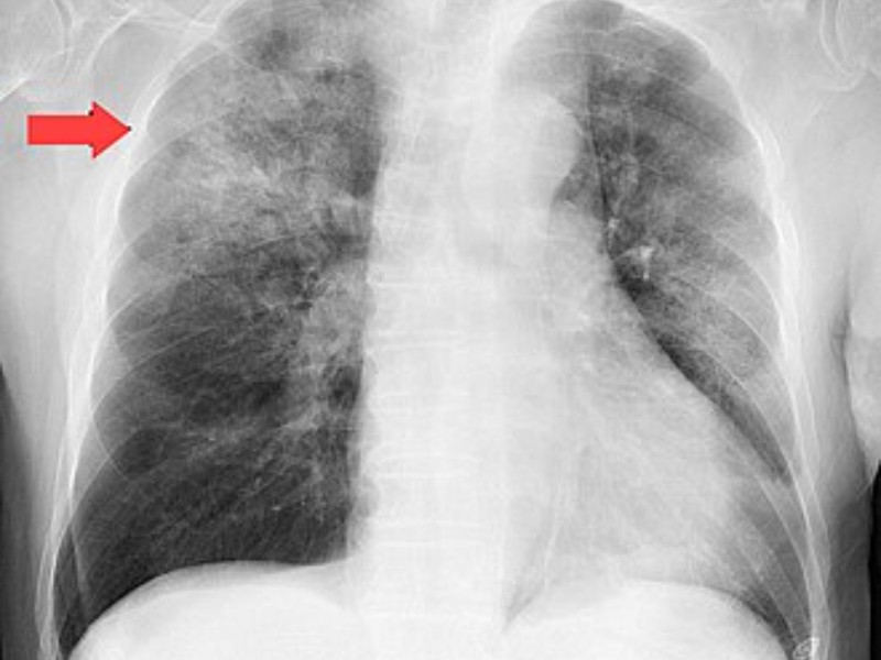
La neumonía es una infección respiratoria aguda que afecta a los pulmones. Puede ser causada por virus, bacterias u hongos, que provocan que los pulmones se llenen de líquido o pus, lo que dificulta la respiración y reduce el flujo de oxígeno en el cuerpo.

 BACTERIA STREPTOCOCCUS PNEUMONIAE ES LA RESPONSABLE DE LA NEUMONÍA

FUENTE: SECRETARÍA DE SALUD

En el estado de Veracruz, la neumonía sigue siendo una de las principales causas de hospitalización durante los meses fríos. Según datos de la Secretaría de Salud estatal, en 2024 se registraron más de 8 MIL casos de infecciones respiratorias graves, de las cuales un alto porcentaje correspondió a neumonías, especialmente en municipios de clima húmedo como Xalapa, Poza Rica, Veracruz y Orizaba.

LA NEUMONÍA ES RESPONSABLE DE MÁS DE 2 MILLONES DE MUERTES ANUALES A NIVEL MUNDIAL

FUENTE: ORGANIZACIÓN MUNDIAL DE LA SALUD

Y aunque especialistas de la salud han solicitado reforzar las campañas de vacunación y llamado a la población a no automedicarse, la falta de un diagnóstico temprano y el consumo de antibióticos sin supervisión son factores que agravan los cuadros clínicos y aumentan la resistencia bacteriana.

Esta enfermedad suele complicarse en el sector de riesgo poblacional, sobre todo cuando no se realiza la inmunización correspondiente, en este caso la vacuna contra el neumococo la cual es una de las principales herramientas para prevenir no solo neumonía sino meningitis y la sepsis.CONDICIONES QUE AGRAVAN LA NEUMONÍA

  • DIABETES
  • OBESIDAD           
  • ALCOHOLISMO
  • VIH
  • DESNUTRICIÓN
  • INSUFICIENCIA RENAL
  • HIPERTENSIÓN
  • CÁNCER
  • FUMADORES ACTIVOS

FUENTE: INSTITUTO NACIONAL DE ENFERMEDADES RESPIRATORIAS

Cada año el 12 de noviembre se conmemora el Día Mundial contra la Neumonía, una jornada impulsada por la Organización Mundial de la Salud para crear conciencia sobre una enfermedad que, pese a ser prevenible y tratable, sigue cobrando millones de vidas en el mundo.



Noticias Similares

Destacadas

Más de Meganoticias